78歲老阿姨戴上新義牙,笑容滿分!
發布時間:2019-06-14 閱讀:3908

現代吸附性義齒的設計,是通過移動性黏膜有效封閉義齒基托的整個邊緣,以便在吞咽和咀嚼時建立臨時性的負壓,阻止義齒在說話時上浮,增強義齒在功能運動時的固位和穩定。當移開義齒,會感受到負壓帶來的抵抗力。這種感覺就是吸附,它通過負壓增強固位力來增強傳統的固位和穩定機制。
我院全口義牙的制作采用生物功能性修複系統BPS,可以解釋爲“由一系列步驟構成的系統,包括取模、咬合記錄、排牙、聚合、完成和交付。每一步都按照明确的BPS程序執行,使用義獲嘉·偉瓦登特的先進設備和材料,以患者的快樂爲終極目标。”
下面附上全口義牙制作的過程。

一、術前評估
上颌牙槽寬高,黏膜組織厚度正常
下颌牙槽低平,舌後退時海綿體欠缺
無口幹症,唾液黏稠度正常
颌位關系穩定,上下牙弓比例可

二、初印模

三、尋找中性區

四、定颌位關系

五、試排牙後行邊緣整塑

六、終印模

七、充膠、戴牙

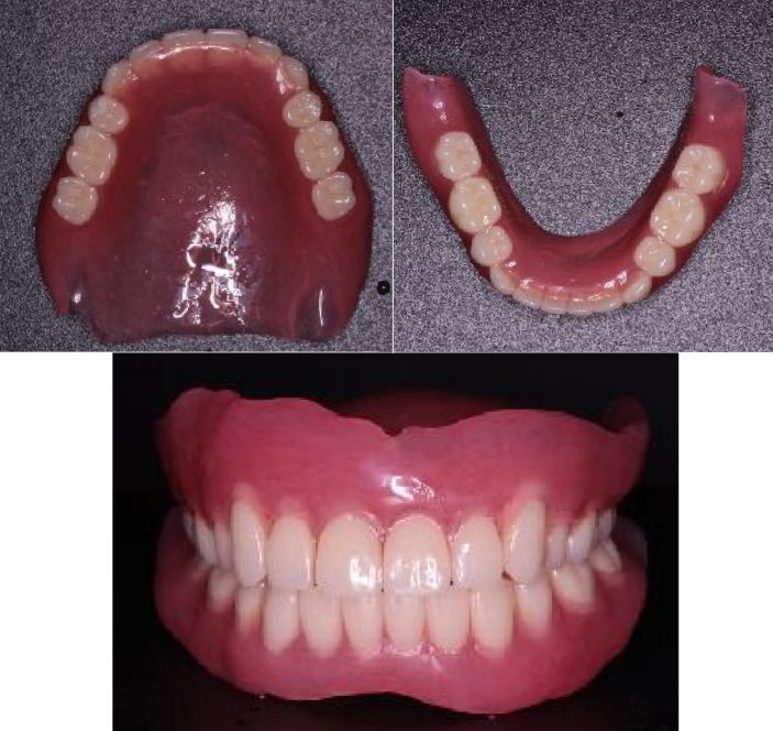
八、修複前後對比

△修複前

△修複後

張洪傑
口腔科主治醫師
揭陽市醫學會口腔醫學分會常務委員,畢業于中山大學光華口腔醫學院,曾在國内知名三甲醫院進修深造,從事口腔科臨床、教學工作十餘年,熟練掌握口腔科常見病、多發病及疑難病症的診治技術,如全瓷牙美容修複,種植修複,根管治療術,牙周治療等。在國家級刊物發表論文一篇,省級刊物發表多篇。

口腔科微信咨詢
下一篇:兒科爲小朋友們慶“六一”











